日本の医療のアドバンテージ
日本は、世界に先駆けた健康長寿社会を迎えています。これを支える日本の医療には、次のような特長があります。
1、先進医療の分野
・がんの診断・治療
・再生医療
・低侵襲医療(血管内治療、ハイブリッド手術室等)
2、個別化医療
・各分野で様々あり(高齢者に適した医療など)
3、予防医療
・健診システム(人間ドック等)、生活習慣の改善指導
・医療サービスにおける “おもてなし”
・医師、看護師が「思いやりの心」で患者へ接遇
などがあげられます。

三大成人病
三大成人病とは ・癌(悪性新生物) ・急性心筋梗塞 ・脳卒中の3つのことです。
昭和55年までは死因の第一位でしたが少しずつ減少し、今では第3位となっています。これも日本の高い水準による医療技術とサービスの賜物かと思います。
癌治療(放射線治療)
重粒子線治療、陽子線治療、ホウ素中性子補足療法(BNCT)、定位放射線治療など、従来の放射線治療より副作用が少なく、今まで治療が難しかった部位のがんに期待できる治療方法が日本には多くあります。がんの重粒子線治療は日本が世界に先駆けて実運用に成功した技術であり、国際的にも高い関心が寄せられています。
重粒子線治療
陽子線治療
ホウ素中性子補足療法(BNCT)
定位放射線治療(強度変調放射線治療(IMRT)、体幹部定位放射線治療(SBRT)など)
サイバーナイフ治療
ガンマナイフ治療
トモセラピーによる治療
VEROによる治療
癌治療(放射線治療以外)
身体にメスを入れずに病巣部を切除する内視鏡治療や腹部や胸部に小さな穴を開けて手術を行う腹腔鏡手術や胸腔鏡手術など、体への負担をできる限り減らす低侵襲医療が日本では多く普及しています。
肝動脈塞栓術
経口抗がん剤による治療(TS-1、ロンサーフなど)
ナノナイフ治療
ダヴィンチ(da Vinci)手術
外科手術(胃がん・肺がん・すい臓がん・肝臓がん・大腸がん・胆管がん・膀胱がん・肛門がん)
内視鏡手術(胃がん・食道がん)
腹腔鏡手術
樹状細胞療法(免疫療法)
心臓疾患治療
日本おいては外科治療に比べて患者様の体に負担の少ない経皮的冠動脈形成術が約70%を占め、その治療に使用される医療用具の更なる技術革新により、術後の早期回復が期待されます。
心臓弁膜症の手術
ステント留置術
冠動脈バイパス術(CABG)
大動脈瘤の手術
経皮的血管形成術(PTA)
ペースメーカーの植込み手術
不整脈のアブレーション手術
下肢静脈瘤手術
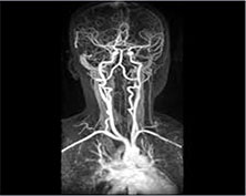
脳神経外科
日本の脳手術は世界トップクラスの実力です。他国では手術を断られた患者さんが日本で手術を受けた結果、完治されたケースが多数あります。日本人特有の繊細な技術が大いに活かされている分野です。
脳卒中をはじめとする脳の病気は、急に症状が現れることがあるため、早期からの予防と対策が大切です。脳血管撮影、脳血管カテーテルなどの検査を定期的にすることにより早期発見をすることができます。
脳腫瘍の外科手術
脳動脈瘤の手術
もやもや病の治療
検査内容
脳血管MRI
脳血管カテーテル
治療内容や治療方法などの詳しい説明はお問い合わせからご連絡ください。